암진단 사례

아산유외과
암진단 사례입니다.

내용보기
아산유외과 개원후 355번째 유방암진단
작성자 관리*** 등록일 2016-04-02 11:45:25 조회수 906
첨부파일 첨부파일 없음

 

 

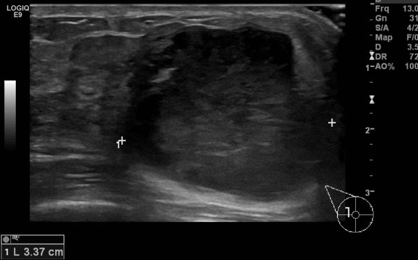
       우측 만져지는 멍우리로 내원하신 20대 여성분으로 우측 12시 방향 4cm 이상 크기의

 멍울 중심핵생검 시행하여 우측 침윤성 유관암 진단 되었습니다.
 

0개의 코멘트가 있습니다.