암진단 사례

아산유외과
암진단 사례입니다.

내용보기
아산유외과 개원후 354번째 유방암진단
작성자 관리*** 등록일 2016-04-02 11:41:24 조회수 836
첨부파일 첨부파일 없음

 

 

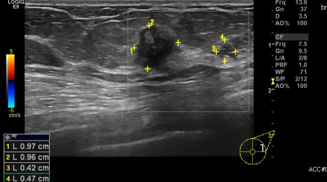
       좌측 만져지는 멍우리로 내원하신 50대 여성분으로  좌측 2시30분 방향에 만져지는

멍우리 중심핵생검 시행하여 좌측 침윤성 유관암 진단되었습니다.
 

0개의 코멘트가 있습니다.