암진단 사례

아산유외과
암진단 사례입니다.

내용보기
아산유외과 개원 후 14번째 유방암 진단.
작성자 관리*** 등록일 2014-10-16 19:27:20 조회수 757
첨부파일 첨부파일 없음

 

 

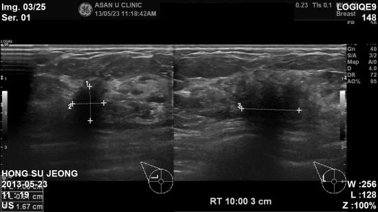
우측 유방에 멍우리가 있어 내원하신분으로,

 

촉진시 우측 10시 방향 2cm 만져지는 멍우리있었습니다.

 

본원 초음파 시행 후, 조직검사 진행하였습니다.

 

조직검사 결과상 유방암으로 진단되었습니다.

 

향후 유방MRI나 PET등으로 더 자세한 검진후 

수술 예정입니다. 

 

감사합니다.

0개의 코멘트가 있습니다.