암진단 사례

아산유외과
암진단 사례입니다.

내용보기
아산유외과 개원후 348번째 유방암진단
작성자 관리*** 등록일 2016-03-22 17:41:58 조회수 830
첨부파일 첨부파일 없음

 

 

 

 

 

 

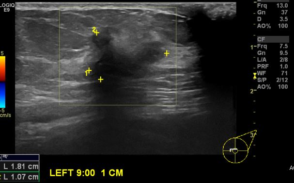
      상기환자 좌측 만져지는 멍우리로 내원하신 70대 여성분으로  좌측 9시 방향 1cm

떨어진 거리의 으심스러운 혹 조직검사 시행하여 좌측 침윤성 유관암 진단 되었습니다. 

0개의 코멘트가 있습니다.