암진단 사례

아산유외과
암진단 사례입니다.

내용보기
아산유외과 개원후 345번째 유방암진단
작성자 관리*** 등록일 2016-03-11 12:59:36 조회수 859
첨부파일 첨부파일 없음

 

 

 

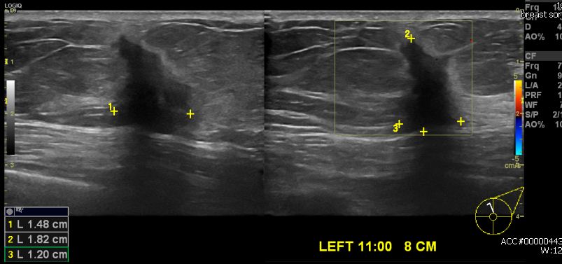
     상기환자 건강검진상 이상 소견으로 내원하신 60대 여성분으로 좌측 11시 방향에서 8cm

 떨어진 거리의 혹 조직검사 시행하여 좌측 침윤성 유관암 진단 되었습니다. 

0개의 코멘트가 있습니다.