

건강 검진 후 이상소견으로 내원하신 49세 여성분이십니다.
촉진시 좌측 유방 만져지는 딱딱한 혹 있어
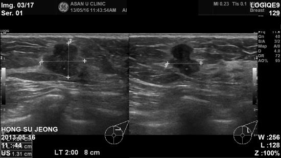
본원 초음파 검사상 좌측 유방 2시방향 유두에서 4cm 떨어진곳에서 결절소견 및,
8cm 떨어진곳에서 석회화 소견 있어
조직검사 시행 하였으며
좌측 유방 침유선 유관암, 상피내암으로 진단되었습니다.
암으로 진단된 혹이 두개 있어 좌절할 필요는 없으십니다.
몇기인지 결정하는 가장 중요한 인자는
세개의 혹 크기의 합이 아니라
가장 큰 혹의 장경이기 때문입니다.
희망의 하루 보내세요, 모두들!