암진단 사례

아산유외과
암진단 사례입니다.

내용보기
아산유외과 개원후 339번째 유방암진단
작성자 관리*** 등록일 2016-03-05 12:08:22 조회수 867
첨부파일 첨부파일 없음

 

 

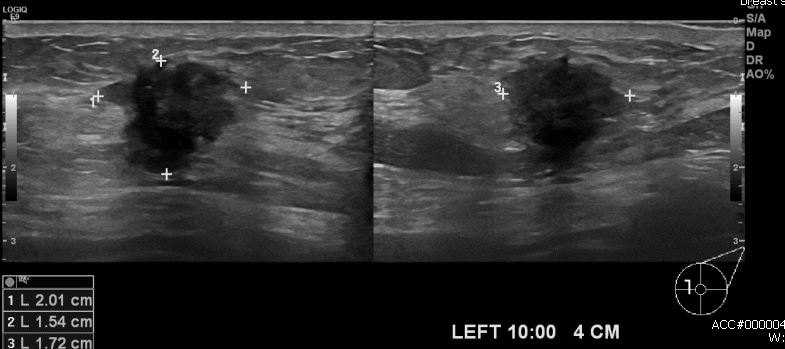
       건강검진상 이상 소견으로 내원하신 80대 여성분으로 좌측 10방향에서 4cm 떨어진 거리의 혹 중앙핵생검 시행하여 좌측 침윤성 유관암 진단 되었습니다.
 

0개의 코멘트가 있습니다.