암진단 사례

아산유외과
암진단 사례입니다.

내용보기
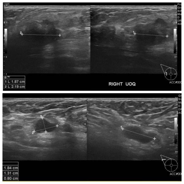
아산유외과 개원후 335번째 유방암진단
작성자 관리*** 등록일 2016-03-05 11:21:37 조회수 931
첨부파일 첨부파일 없음

 

 

        우측 유방에 만져지는 멍우리로 내원하신50대 여성분으로 우측 만져지는 멍우리 조직검사 하여 침윤성 암 진단 되었고, 겨드랑이 림프절 비대 세침검사 시행하여 전이암 진단 되었습니다.
 

0개의 코멘트가 있습니다.