암진단 사례

아산유외과
암진단 사례입니다.

내용보기
아산유외과 개원 후 11번째 유방암 진단.
작성자 관리*** 등록일 2014-10-16 19:05:45 조회수 743
첨부파일 첨부파일 없음

 

 

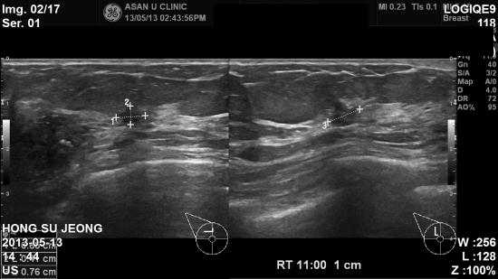
샤워하다 오른쪽 유방에 멍우리 및 통증있어 내원하신 54세 여성분이십니다. 

 

촉진시 우측 유방 및 임파절 만져지는 혹있었으며,

 

본원 초음파상 우측 유방 9 : 30, 11시 방향 혹 과, 우측 임파절 비대소견으로

 

조직검사 및 세침검사 시행하여,

 

조직검사 결과 상 우측 침윤성 유관암 및 겨드랑이 전이로 진단 되었습니다. 

 

만져지는 멍우리가 있을때는 빠른 시일내에 병원에 내원하여

 

전문의의 진료를 받으시길 바랍니다. 

 

감사합니다.  

0개의 코멘트가 있습니다.