암진단 사례

아산유외과
암진단 사례입니다.

내용보기
아산유외과 개원후 334번째 유방암진단
작성자 관리*** 등록일 2016-02-15 13:23:23 조회수 929
첨부파일 첨부파일 없음

 

 

 

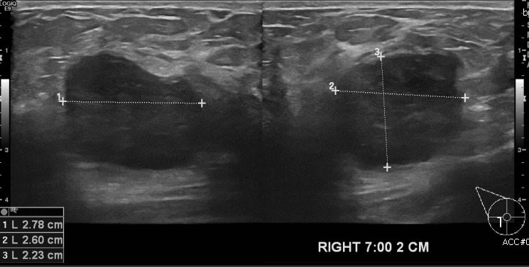
     우측 유방에 만져지는 몽우리로 내원하신 40대 여성분으로 우측 유방7시 방향에서 2cm

  떨어진 거리의 만져지는 혹 중앙핵생검 시행하여 침윤성 유관암 진단 되었습니다.
 

0개의 코멘트가 있습니다.