암진단 사례

아산유외과
암진단 사례입니다.

내용보기
아산유외과 개원후 333번째 유방암진단
작성자 관리*** 등록일 2016-02-15 13:21:02 조회수 923
첨부파일 첨부파일 없음

 

 

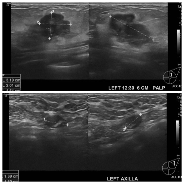
       건강검진상 이상 소견으로 내원하신 40대 여성분으로  좌측 유방 12시 30분 방향에

     서 6cm 떨어진 거리의 만져지는 혹 중앙핵생검 시행하여 좌측 침윤성 유관암 진단

    되었고, 좌측 겨드랑이에 림프절 비대 세침검사 시행하여 전이암 진단 되었습니다.  


 

0개의 코멘트가 있습니다.