암진단 사례

아산유외과
암진단 사례입니다.

내용보기
아산유외과 개원후 332번째 유방암진단
작성자 관리*** 등록일 2016-02-02 12:15:23 조회수 964
첨부파일 첨부파일 없음

 

 

 

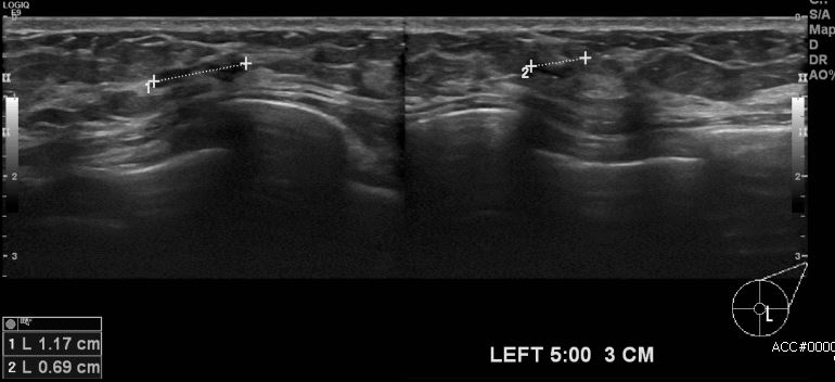
          건강검진상 이상소견으로 내원하신 50대 여성분으로 본원 초음파 시행 후 좌측 5시

           방향에서 3cm 떨어진 거리의 혹 조직검사 시행하여 좌측 유방의 미세석회포함된 상피내암으로 진단 되었습니다. 


 

0개의 코멘트가 있습니다.