암진단 사례

아산유외과
암진단 사례입니다.

내용보기
아산유외과 개원후 330번째 유방암진단
작성자 관리*** 등록일 2016-02-02 12:07:52 조회수 953
첨부파일 첨부파일 없음

 

 

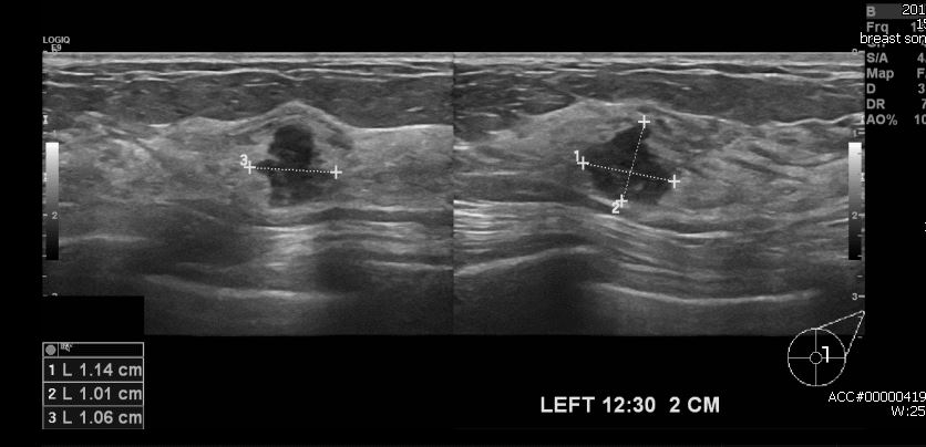
           건겅검진상 이상 소견으로 내원하신 40대 여성분으로 본원 초음파 시행 후

              좌측 유방의 12시 30분 방향에서 2cm 떨어진 거리의 혹 조직검사 시행하여

              좌측 침윤성 유관암 진단 되었습니다.
 

0개의 코멘트가 있습니다.