암진단 사례

아산유외과
암진단 사례입니다.

내용보기
아산유외과 개원후 328번째 유방암진단
작성자 관리*** 등록일 2016-01-20 09:22:43 조회수 888
첨부파일 첨부파일 없음

 

 

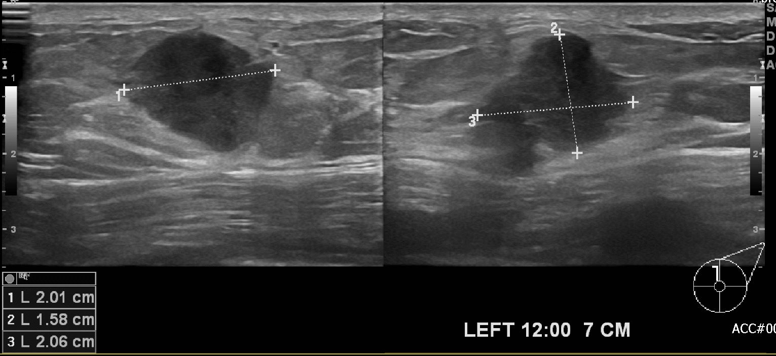
      건강검진상 이상소견보여 방문하신 50대 여자환자분으로 본원에서

    왼족유방 12시방향 7cm 떨어진 곳에 조직검사시행하여 왼쪽유방

     침윤성유관암 진단되셨습니다. 

0개의 코멘트가 있습니다.