암진단 사례

아산유외과
암진단 사례입니다.

내용보기
아산유외과 개원 후 10번째 유방암 진단.
작성자 관리*** 등록일 2014-10-16 18:53:19 조회수 744
첨부파일 첨부파일 없음

 

 

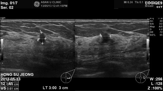
건강검진 진행 후 유방촬영 상 유방 소견으로 내원하신 64세 여성분이십니다. 

 

본원 초음파상 좌측 3시방향 길게 자란 0.7cm 혹있어 조직검사 시행하였습니다.

 

결과상 유방암으로 진단 되었습니다.

 

꾸준한 건강검진으로 건강한 삶을 누릴수 있기를 기원합니다.

 


감사합니다.

 

0개의 코멘트가 있습니다.