암진단 사례

아산유외과
암진단 사례입니다.

내용보기
아산유외과 개원후 315번째 유방암진단
작성자 관리*** 등록일 2015-12-09 10:47:45 조회수 896
첨부파일 첨부파일 없음

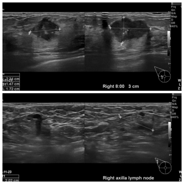
우측유방에 만져지는 멍우리로 내원하신 50대 환자분이십니다.

본원에서 우측8시 방향에 혹과 겨드랑이림프절을 각각 조직검사,세침검사 시행하였고

결과상 침윤성 유관암 진단되었고 겨드랑이 전이까지 확인되었습니다. 

0개의 코멘트가 있습니다.