암진단 사례

아산유외과
암진단 사례입니다.

내용보기
아산유외과 개원후 갑상선암 진단 2.
작성자 관리*** 등록일 2014-10-16 18:27:30 조회수 691
첨부파일 첨부파일 없음

 

 

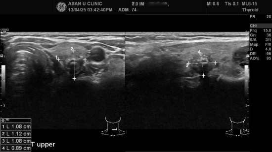
2012년 12월에 유방암 진단받으신 분으로 1월에 유방암
수술을 받으셨으나
 

수술후 PET scan상 갑상선에 의심소견있어
 

본원에서 갑상선초음파 및 침생검으로 갑상선 유두암 진단받으셨습니다.

 

또 한번 수술을 준비하셔야 하지만
 

유방암 환자가 모두 갑상선암에 걸리는 것은 아니며,
 

방사선 조사량도 커서
 

모든
분들이 PET scan을 하지는 않을 수도 있습니다.
 

그러나 갑상선암은 남성보다 여성에서 많으므로
 

가끔은 간단한 갑상선암 검사,
즉 갑상선초음파를 받아볼 필요가 있습니다.
 

감사합니다.
 

0개의 코멘트가 있습니다.