암진단 사례

아산유외과
암진단 사례입니다.

내용보기
아산유외과 개원후 308번째 유방암진단
작성자 관리*** 등록일 2015-10-16 12:29:42 조회수 890
첨부파일 첨부파일 없음

 

 

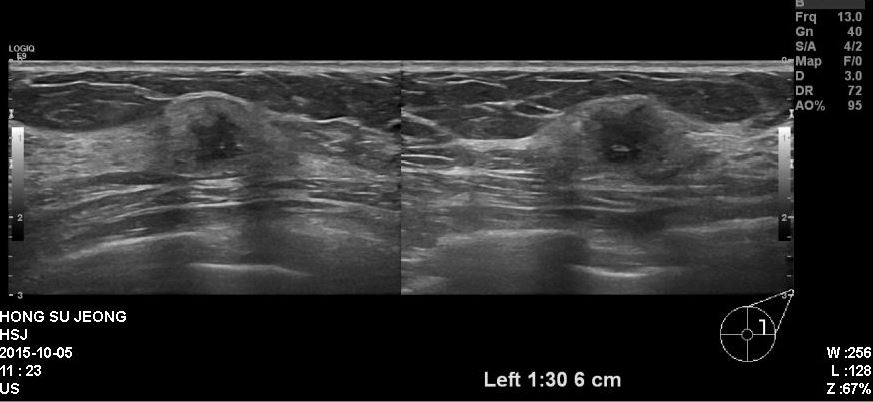
정기유방초음파 시행위해 내원하신  40대환자분이십니다.

본원에서 시행한 초음파상 우측유방 1시30분 방향에 이전과 다른 양상보이는 혹발견되어

조직검사 시행하였고 결과상 침윤성 유관암 진단되었습니다.   

0개의 코멘트가 있습니다.