암진단 사례

아산유외과
암진단 사례입니다.

내용보기
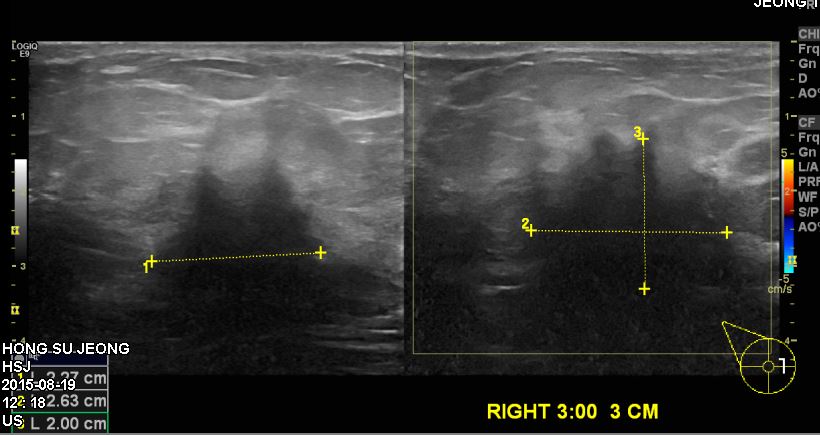
아산유외과 개원후 293번째 유방암진단
작성자 관리*** 등록일 2015-08-27 12:29:00 조회수 855
첨부파일 첨부파일 없음

 

 

 

 

 

상기환자 60대 여자분으로 10일전 유방에  멍우리 발견하여 본원진료후  우측 3시방향

조직검사 시행한후, 우측유방 침윤성 유관암 진단되셨습니다 

0개의 코멘트가 있습니다.