암진단 사례

아산유외과
암진단 사례입니다.

내용보기
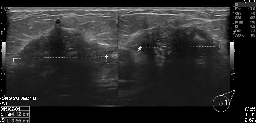
아산유외과 개원후 278번째 유방암진단
작성자 관리*** 등록일 2015-07-08 12:51:14 조회수 925
첨부파일 첨부파일 없음

 

 


    상기환자 건강검진상 이상 소견으로 내원하신 40대 여성분으로 본원 조직검사 시행 후

  좌측 침윤성 유관암 진단 되었습니다.

0개의 코멘트가 있습니다.