암진단 사례

아산유외과
암진단 사례입니다.

내용보기
아산유외과 개원후 276번째 유방암진단
작성자 관리*** 등록일 2015-06-26 15:09:42 조회수 909
첨부파일 첨부파일 없음

 

 

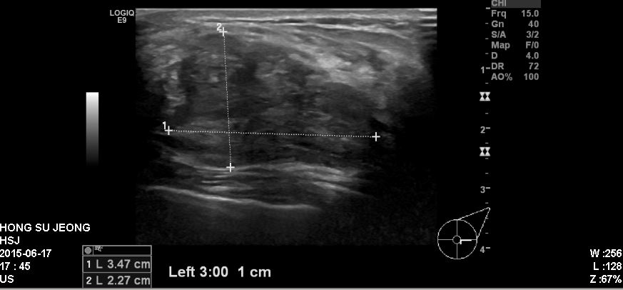
좌측유방에 만져지는 멍우리로 내원하신 50대 환자분이십니다.

본원에서 좌측3시방향에 혹을 조직검사 시행하였고

결과상 유방의 점액암종으로 확인되었습니다. 

 

0개의 코멘트가 있습니다.