암진단 사례

아산유외과
암진단 사례입니다.

내용보기
아산유외과 개원 후 29번째 갑상선암 진단
작성자 관리*** 등록일 2015-06-17 17:58:31 조회수 890
첨부파일 첨부파일 없음

 

 


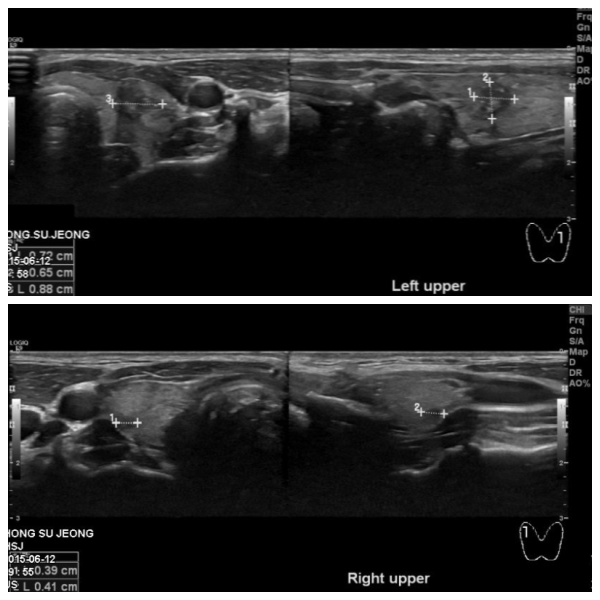
      최근 목이 붓고, 피곤한 느낌이 들어 내원한  30대 여성 분으로 본원 갑상선 초음파

     시행 후 양측 상엽에 의심되는 몽우리가 있어 세포검사  시행하였으며, 좌즉  갑상선

    유두암 진단 되었습니다.

0개의 코멘트가 있습니다.