암진단 사례

아산유외과
암진단 사례입니다.

내용보기
아산유외과 개원후 259번째 유방암진단
작성자 관리*** 등록일 2015-05-20 16:42:44 조회수 937
첨부파일 첨부파일 없음

 

 

 

 

 

 

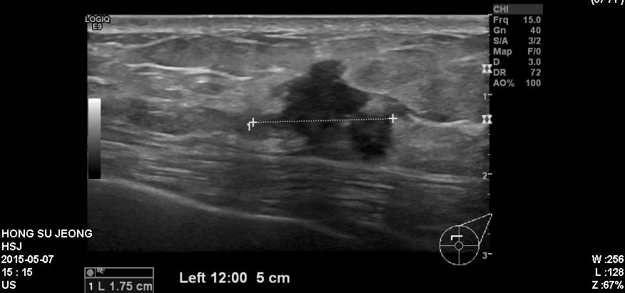
     좌측 유방에 만저지는 몽우리로 내원하신 60대 여성분으로 본원에서 만저지는 혹

      조직  검사 하였고, 좌측 침윤성 유관암 진단 되었습니다. 

0개의 코멘트가 있습니다.