암진단 사례

아산유외과
암진단 사례입니다.

내용보기
아산유외과 개원후 251번째 유방암진단
작성자 관리*** 등록일 2015-05-08 16:03:46 조회수 829
첨부파일 첨부파일 없음

 

 

 

 

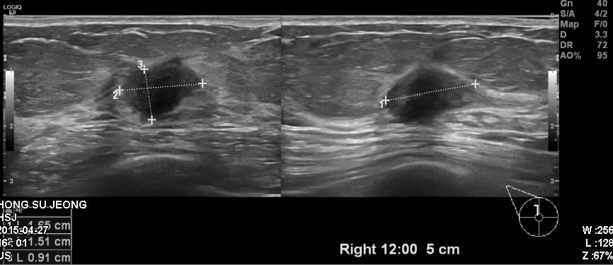
  건강검진상 이상 소견으로 내원하신 50대 여성분으로 우측 침윤성유관암 진단되었습니다. 

0개의 코멘트가 있습니다.