암진단 사례

아산유외과
암진단 사례입니다.

내용보기
아산유외과 개원후 갑상선암 진단 1.
작성자 관리*** 등록일 2014-10-16 16:03:55 조회수 669
첨부파일 첨부파일 없음




 

 

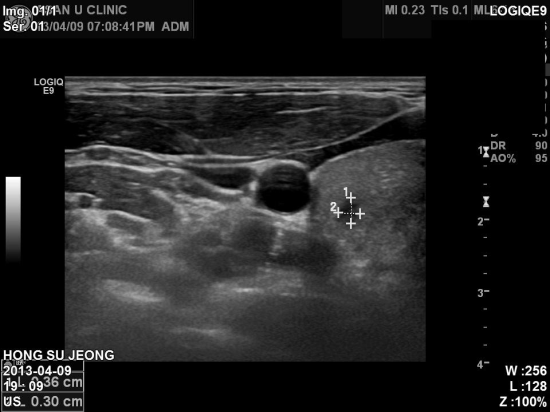
건강검진센타에서 의뢰된 0.5cm 전후의 갑상선 결절로
 

세포검사실시하여 갑상선 유두암 진단 받았습니다.
 

1cm 미만의 갑상선 결절.
 

대부분 예후가 좋아 세포검사를 하지 말자고 할 정도로 걱정할 필요 없으나,
 

진단받은 분들은 그 혹으로 인한 스트레스가 크십니다.  

 

0개의 코멘트가 있습니다.