암진단 사례

아산유외과
암진단 사례입니다.

내용보기
아산유외과 개원후 243번째 유방암진단
작성자 관리*** 등록일 2015-04-22 15:24:20 조회수 952
첨부파일 첨부파일 없음

 

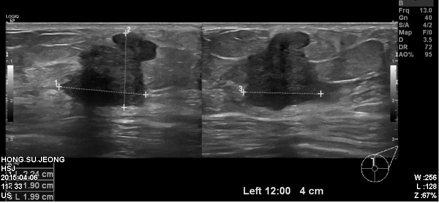
좌측유방에 만져지는 멍우리로 내원하신 60대 환자분이십니다.

본원에서 시행한 유방초음파상에 보이는

좌측유방 12시 방향에 있는 혹을 조직검사 시행하였고

침윤성유관암진단되었습니다.

0개의 코멘트가 있습니다.