암진단 사례

아산유외과
암진단 사례입니다.

내용보기
아산유외과 개원후 242번째 유방암진단
작성자 관리*** 등록일 2015-04-22 15:20:54 조회수 892
첨부파일 첨부파일 없음

 

  

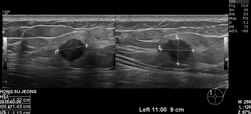
건진상 이상소견으로 내원하신 50대 환자분이십니다.

본원에서 좌측 유방 11시방향에 있는 혹 조직검사시행하였고

침윤성유관암 진단되었습니다.

0개의 코멘트가 있습니다.