암진단 사례

아산유외과
암진단 사례입니다.

내용보기
아산유외과 개원후 239번째 유방암진단
작성자 관리*** 등록일 2015-04-16 10:06:19 조회수 862
첨부파일 첨부파일 없음

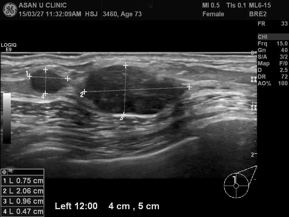
 73세 여성분입니다.

건강검진상 이상소견으로 내원하셨지만, 혹이 만져지기도 합니다.

조직검사상  침윤성 유관암으로 진단되셨습니다.

 

 

 

 

 

 

 

 

0개의 코멘트가 있습니다.