암진단 사례

아산유외과
암진단 사례입니다.

내용보기
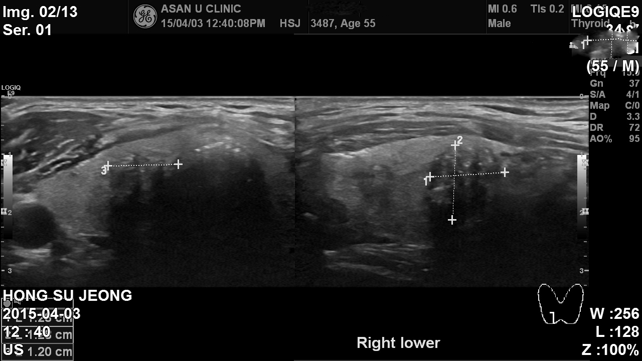
아산유외과 개원 후 26번째 갑상선암 진단.
작성자 관리*** 등록일 2015-04-13 10:17:44 조회수 1044
첨부파일 첨부파일 없음

 

 지난해에  여론몰이로, 착한암으로 분류되어 과잉진료의사 논란이 있은후

갑상선암검사가 급격히 줄었습니다. 오랜만에 갑상선암 진단 증례입니다.

놀랍게도 50대 남자분 이고요. 이처럼, 당연히 남자들도 갑상선암이 걸릴수 있습니다.

 

 

 

0개의 코멘트가 있습니다.