암진단 사례

아산유외과
암진단 사례입니다.

내용보기
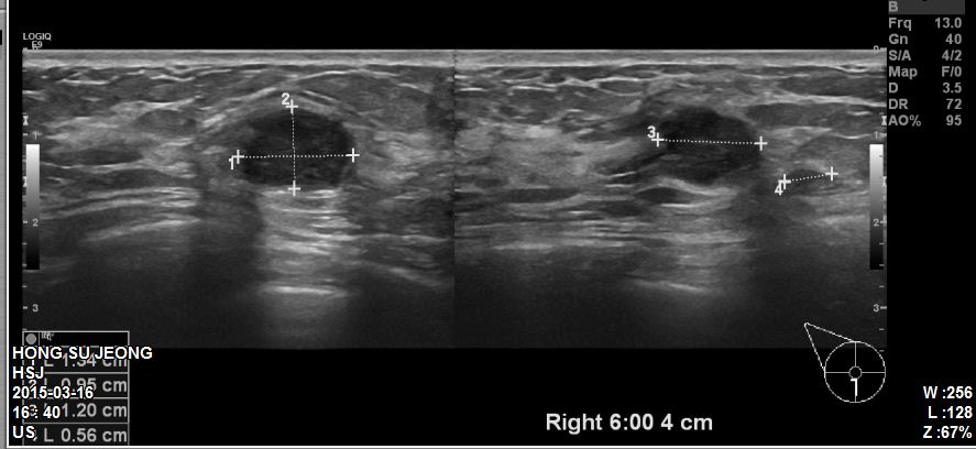
아산유외과 개원후 238번째 유방암진단
작성자 관리*** 등록일 2015-04-11 13:04:37 조회수 966
첨부파일 첨부파일 없음

 

본원에 내원하신 40대 환자분이십니다.

유방초음파 시행 후 우측 6시방향에 혹 조직검사 시행하였고

침윤성유관암 진단되었습니다.

0개의 코멘트가 있습니다.