암진단 사례

아산유외과
암진단 사례입니다.

내용보기
아산유외과 개원후 232번째 유방암진단
작성자 관리*** 등록일 2015-03-23 15:44:45 조회수 924
첨부파일 첨부파일 없음

 

 

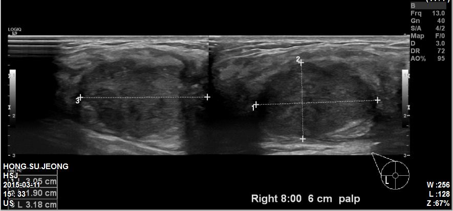
본원에 내원하신 40대 환자분이십니다.  

유방초음파 및 우측유방에 혹 조직검사와 

우측겨드랑이에 림프절 세침검사 시행하였고  

침윤성유관암 진단되었습니다.

 

0개의 코멘트가 있습니다.