암진단 사례

아산유외과
암진단 사례입니다.

내용보기
아산유외과 개원후 225번째 유방암진단
작성자 관리*** 등록일 2015-03-03 14:14:33 조회수 945
첨부파일 첨부파일 없음


 

 

 

 

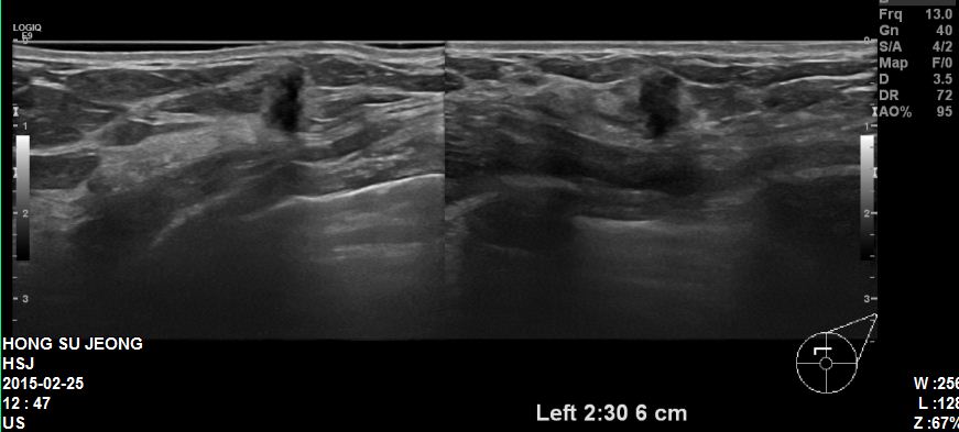
본원에 내원하신 40대 환자분이십니다.

좌측유방에 2시30분 방향에 혹 조직검사 시행하였고  

결과상 침윤성유관암 진단되었습니다.

0개의 코멘트가 있습니다.