암진단 사례

아산유외과
암진단 사례입니다.

내용보기
아산유외과 개원 후 2번째 유방암 진단
작성자 관리*** 등록일 2014-10-16 15:55:53 조회수 775
첨부파일 첨부파일 없음




 

 

 

 

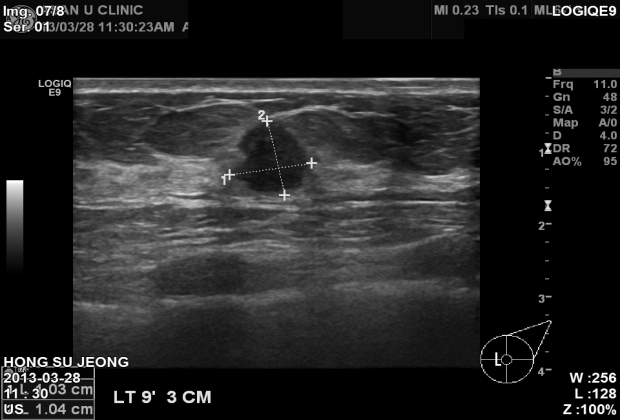
맛사지 받다가 이상하다는 얘기듣고 검사하러 오셨다가


유방암(2cm미만)으로 본원에서 조직검사 진단되셨으며

서울아산병원에서 치료예정이십니다.

모두들
아시겠지만

조기진단이 최선의 치료입니다.

감사합니다.
  

0개의 코멘트가 있습니다.