암진단 사례

아산유외과
암진단 사례입니다.

내용보기
아산유외과 개원후 219번째 유방암진단
작성자 관리*** 등록일 2015-02-17 12:58:55 조회수 982
첨부파일 첨부파일 없음

 

 

 

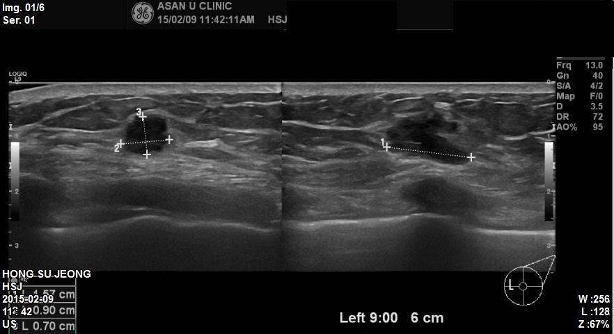
본원내원하신 60대 환자분이십니다.

좌측유방 9시방향에 1.6cm 혹 조직검사 시행하였고

침윤성유관암 진단되었습니다. 감사합니다.

0개의 코멘트가 있습니다.