암진단 사례

아산유외과
암진단 사례입니다.

내용보기
아산유외과 개원후 215번째 유방암진단
작성자 관리*** 등록일 2015-02-13 12:41:25 조회수 986
첨부파일 첨부파일 없음


 

 

 

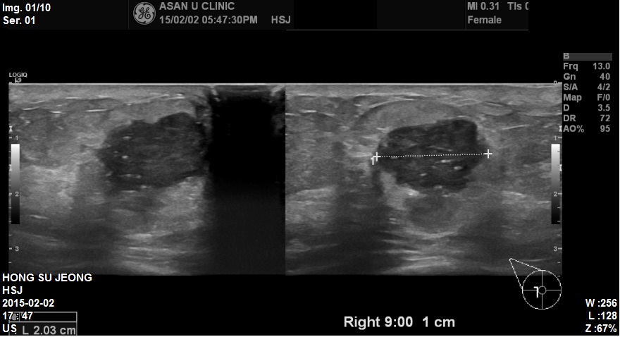
상기환자 우측유방에 만져지는 멍우리로 내원하신 59세 환자분이십니다.

본원에서 우측유방 9시방향에 2.03cm 혹 조직검사 시행하였고

겨드랑이에 임파절 비대소견보여 세침검사 진행하였습니다.

결과상 우측유방 침윤성유관암으로 진단되었고 겨드랑이까지 전이된상태였습니다.

2개월전부터 만져지던 멍우리라고 하셨었는데 작게 만져지실때 오셨었으면 하는

안타까움이 있었습니다. 빠른쾌유를 바라며

조기진단 조기치료가 최선의 방법입니다.

감사합니다.  

0개의 코멘트가 있습니다.