
건진이상소견으로 내원하신 48세여자분이십니다.
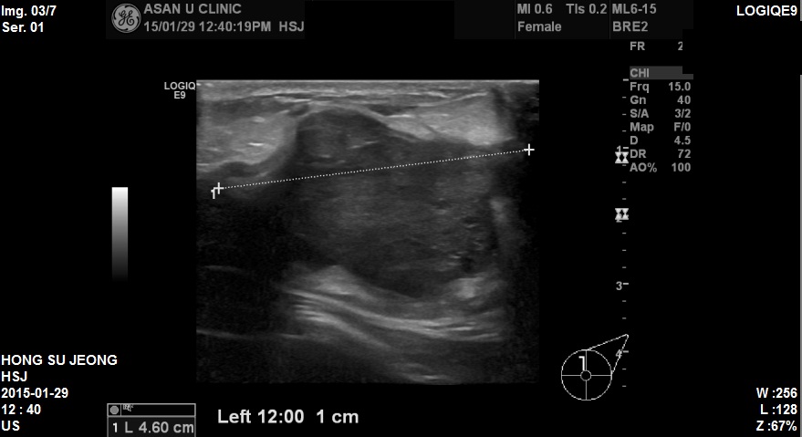
본원 초음파 검사상 좌측유방에 4cm 가 넘는 혹이 발견되었고,
조직검사결과 침윤성 유관암 진단되었습니다.
건강검진 유방초음파를통해 알게되셨다고는 했지만
혹의 크기로봐선 몇달전부터 만져졌을 가능성이 큽니다.
그전에 자가검진을 못하셨기에 이제서야 발견을 하게 되신것 같습니다.
자가검진을 좀더 꾸준히 해 보셨으면
조금 더 일찍 발견되었을텐데.. 안타깝습니다.
환자분의 빠른쾌유를 기도합니다.
감사합니다.