암진단 사례

아산유외과
암진단 사례입니다.

내용보기
아산유외과 개원후 209번째 유방암진단
작성자 관리*** 등록일 2015-02-07 09:24:04 조회수 960
첨부파일 첨부파일 없음

 

 

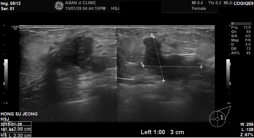
건진상 이상소견으로 내원하신 59세 환자분이십니다.

본원에서 좌측 1시방향에 2.9cm의 혹 조직검사하였고

침윤성유방암진단되었습니다.

감사합니다.

 

 

 

 

0개의 코멘트가 있습니다.