암진단 사례

아산유외과
암진단 사례입니다.

내용보기
아산유외과 개원후 208번째 유방암진단
작성자 관리*** 등록일 2015-02-05 16:39:13 조회수 938
첨부파일 첨부파일 없음

 

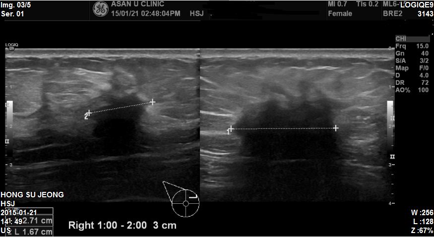
건진상 이상소견으로 내원하신 53세 환자분이십니다.

본원에서 우측 상내측에 2.7cm혹 조직검사 시행하였고

겨드랑이에 임파절이 부어있어 세침검사 시행하였습니다

결과 침윤성유방암진단되었고 겨드랑이까지 전이되어있었습니다.

혹의 크기가 조금 큰 편이여서 조금더 일찍 오셨었으면 하는 안타까움이 들었습니다

자가검진을 통해 조기발견 조기치료가 필요합니다.

0개의 코멘트가 있습니다.