암진단 사례

아산유외과
암진단 사례입니다.

내용보기
아산유외과 개원후 202번째 유방암진단
작성자 관리*** 등록일 2015-01-28 14:21:02 조회수 907
첨부파일 첨부파일 없음

 

 

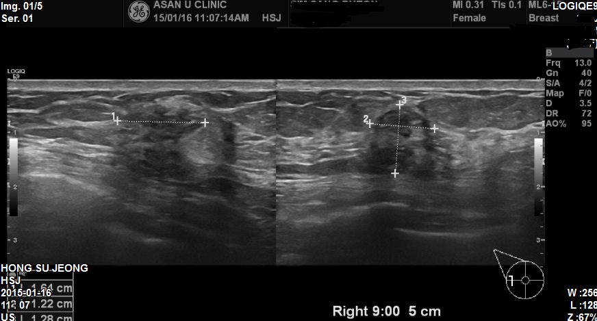
건진상 이상소견으로 내원하신 68세 환자분이십니다.

본원에서 우측 9시방향에 1.64cm 혹 조직검사 시행하였고

상피내암 진단되었습니다.

상피내암의 경우는 '0기'입니다.

어떤 암이든 조기에 진단될수록 치료결과는 좋습니다.
그러므로, 조기검진이 최선의 치료입니다.
감사합니다.

0개의 코멘트가 있습니다.