암진단 사례

아산유외과
암진단 사례입니다.

내용보기
아산유외과 개원후 200번째 유방암진단
작성자 관리*** 등록일 2015-01-24 09:26:15 조회수 889
첨부파일 첨부파일 없음

 

 

 

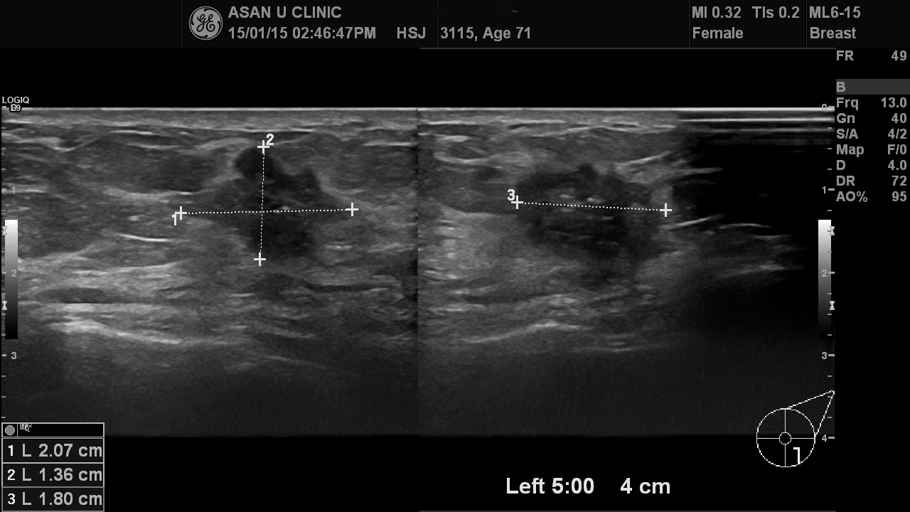
건강검진 이상으로 내원한 71세 여성분입니다.

초음파상 2cm가 넘는 혹이였으나

"이 나이에 유방에 병은....."하며

생각지 못한, 만져지는 혹이 유방에 있는 것을 보며 놀라십니다.

중심핵생검으로 좌측 유방에 침윤성 유관암이 진단되었습니다.

다행히 초음파로 보기에는 겨드랑이까지 림프절 전이는 없어 보입니다.

빠른 쾌유를 믿습니다.

감사합니다.

0개의 코멘트가 있습니다.