암진단 사례

아산유외과
암진단 사례입니다.

내용보기
아산유외과 개원후 199번째 유방암진단
작성자 관리*** 등록일 2015-01-22 11:52:07 조회수 996
첨부파일 첨부파일 없음

 

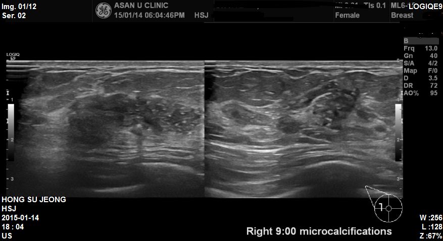
상기환자 건강검진상 이상소견으로 내원하신 58세환자분이십니다.

타원 유방초음파상 우측유방에 혹이 있었고 본원에서 부분초음파 시행후

우측 9:00방향에 미세석회화가 포함된 혹 조직검사 시행하였습니다

결과상 침윤성유방암진된되었습니다.

정확한 유방검사 위해서는 유방촬영과 유방초음파를 함께 하시는 것이 좋습니다.

0개의 코멘트가 있습니다.