암진단 사례

아산유외과
암진단 사례입니다.

내용보기
아산유외과 개원후 194번째 유방암진단
작성자 관리*** 등록일 2015-01-13 17:05:40 조회수 943
첨부파일 첨부파일 없음

 

 

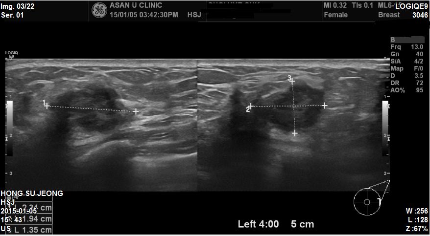
상기환자 마사지 받으시면서 발견한 혹으로 내원하신 53세 환자분이십니다.

 

본원에서 유방초음파 진행하였고 좌측유방 4 : 00방향에 2.3cm혹이있었고

겨드랑이 림프절도 많이 부어있었습니다.

 

본원에서 유방조직검사와 겨드랑이 세침검사 시행하였고

결과상 좌측유방에 침윤성유방암 진단되었고 겨드랑이까지 전이된 상태였습니다.

크기가 조금 커진 상태여서 미리 발견했으면 하는 아쉬움이 남았습니다

자가검진의 중요성을 또한번 느끼게 되는 사례였습니다.

 

0개의 코멘트가 있습니다.