
만져지는 유방의 몽오리를, 통증이 없으니 괜찮겠지 몇년동안 관찰하시다가
갑자기 커지면서 통증이 생겨
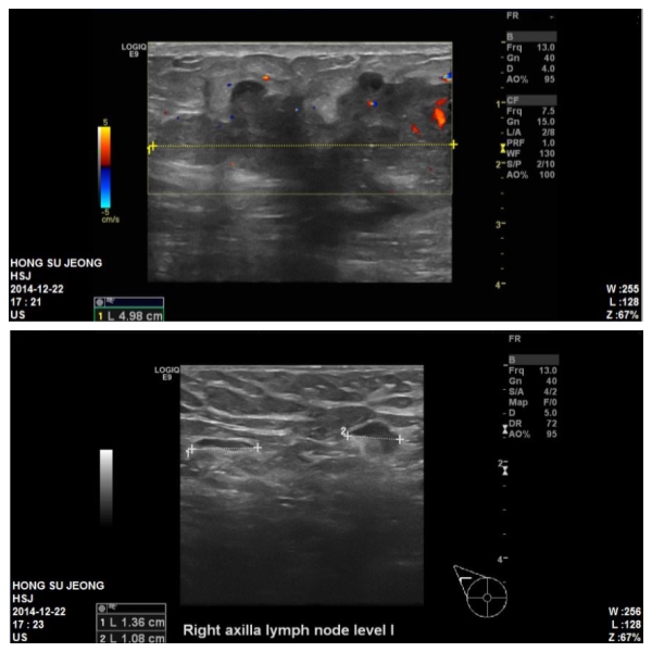
본원에 내원하신 58세 여자분이십니다.
본원 초음파상 우측 5시 방향에 4cm크기의 혹과 겨드랑이 림프절 비대소견있었으며,
조직검사와 세포검사 시행했읍니다.
그 결과 침윤성 유관암 및
겨드랑이 림프절 전이로 진단되었습니다.
토증이 없더라도 만져지는 몽울은 꼭 점검해봐야 함을,
또 한번 깨닫게 되는 증례입니다.
꾸준한 건강검진 혹은 자가검진으로 조기진단이 중요합니다.