아산유외과의원
menu
icon1
온라인상담
icon2
온라인예약
icon3
오시는길
icon4
진료시간
icon1
로그인
icon2
회원가입
icon3
ID/비번찾기
원장소개
병원소개
맘모톰클리닉
유방암클리닉
갑상선클리닉
암진단사례
건강TV
home
암진단 사례
암진단 사례
아산유외과
암진단 사례
입니다.
내용보기
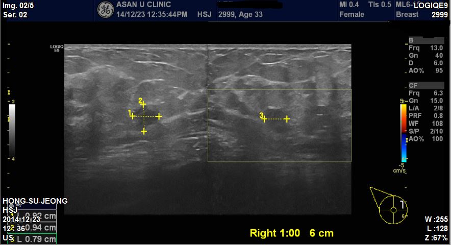
아산유외과 개원후 184번째 유방암진단.
작성자
관리***
등록일
2014-12-27 10:45:43
조회수
900
첨부파일
첨부파일 없음
타원 검사상 이상소견보여 내원하신 33
세 여성분이십니다
.
우측유방에 1시방향에 0.95cm
정도의 혹이있어 본원에서
조직검사 시행결과 침윤성 유방암으로 진단되셨습니다
.
환자분의 빠른 쾌유를 기도합니다
.
0개의 코멘트가 있습니다.
이름
제목
내용
검색
게시판 입니다
번호
제목
작성자
등록일
166
아산유외과 개원후 193번째 유방암진단
관리***
2015.01.13
165
아산유외과 개원후 192번째 유방암진단
관리***
2015.01.10
164
아산유외과 개원 후 25번째 갑상선암 진단.
관리***
2015.01.09
163
※아산유외과 휴진안내※
관리***
2015.01.07
162
아산유외과 개원후 191번째 유방암진단
관리***
2015.01.07
161
아산유외과 개원후 190번째 유방암진단
관리***
2015.01.07
160
아산유외과 개원후 189번째 유방암진단
관리***
2015.01.07
159
아산유외과 개원후 188번째 유방암진단
관리***
2015.01.03
158
아산유외과 개원후 187번째 유방암진단
관리***
2014.12.31
157
아산유외과 개원후 186번째 유방암진단
관리***
2014.12.31
156
아산유외과 개원후 185번째 유방암진단.
관리***
2014.12.27
155
아산유외과 개원후 184번째 유방암진단.
관리***
2014.12.27
154
아산유외과 개원후 183번째 유방암 진단
관리***
2014.12.20
153
아산유외과 개원후 182번째 유방암 진단
관리***
2014.12.19
152
아산유외과 개원후 181번째 유방암 진단
관리***
2014.12.18
<<
51
52
53
54
55
56
57
58
59
60
>>