암진단 사례

아산유외과
암진단 사례입니다.

내용보기
아산유외과 개원후 183번째 유방암 진단
작성자 관리*** 등록일 2014-12-20 13:26:49 조회수 902
첨부파일 첨부파일 없음

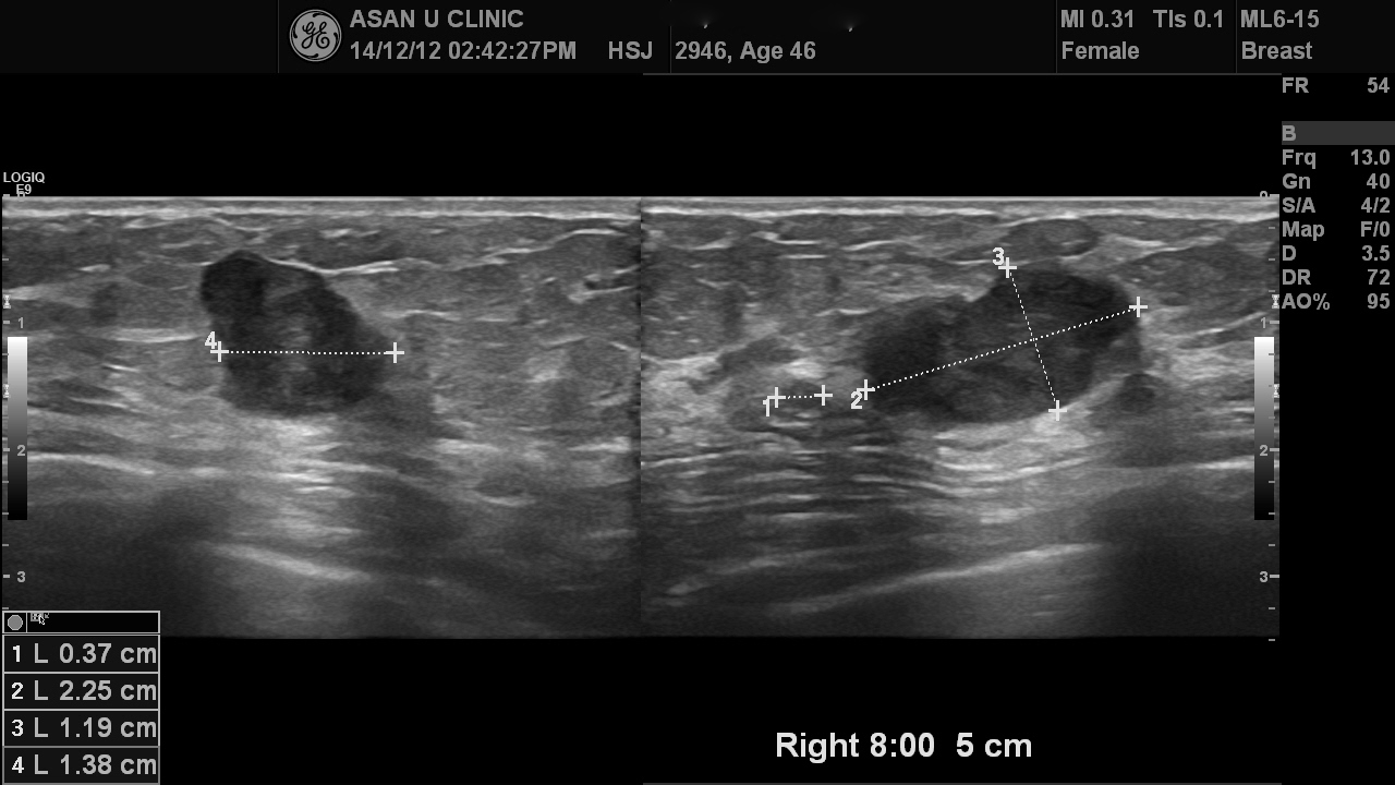
이삼일전부터 만져지는 몽우리가 오른쪽 유방에 있어서 오신 만 46세 여성분입니다.

2.25cm의 혹이 하외측에 있었고 조직검사로 침윤성 유관암으로 진단되었습니다.

유륜쪽으로는 거리가 있어서 부분절제로 수술이 가능할 것으로 생각되나

0.5cm전후의 작은 혹들이 주변에 떨어져 있어

유방 MRI를 통해 반드시 없애야 할 혹들을 더 점검해야 합니다.

빠른 쾌유를 믿습니다.

 

 

 

 


 

 

 

0개의 코멘트가 있습니다.