
건강검진상 이상소견있어 내원한 42세 여성분입니다.
검진시 실시한 유방촬영상에는 왼쭉유방의 상내측에 불규칙하게 퍼져있는
미세석회화와 음영들이 산재해 있었습니다.
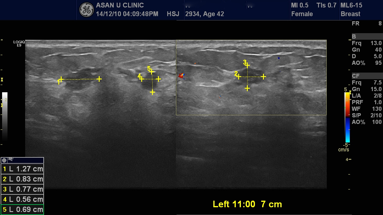
초음파를 실시하였고 악성으로 예상되는 두군데를 조직검사 하였으며
두군데 모두 안타깝게도
침윤성 유관암으로 진단되었습니다.
본원 초음파상엔 겨드랑이 림프절은 커져있는 듯했으나,
유방 MRI 가 필요한 터라 그후 에 고려될 것입니다.
여러군데 모래알 처럼 흩어져 있으나
실제 덩어리를 이루는 혹은 작을 수도 있습니다.
빠른 쾌유를 기도합니다.
감사합니다.