암진단 사례

아산유외과
암진단 사례입니다.

내용보기
아산유외과 개원후 178번째 유방암 진단
작성자 관리*** 등록일 2014-12-04 11:24:30 조회수 947
첨부파일 첨부파일 없음

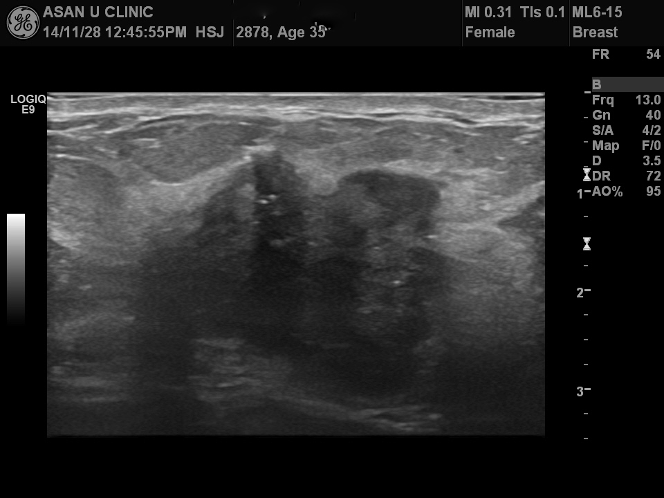
한달전부터 우측 유방에 멍우리가 만져지는데 없어지지 않아 내원한 35세 여성분입니다.

초음파상 내부에 미세석회화가 불규칙하게 있으며 경계가 좋지 않은 모먕을 가져

조직검사를 시행하였습니다.

조직검사상 침윤성 유관암으로 진단되었습니다.

다행이 겨드랑이에는 만져지는 혹은 없었으나

유방 MRI로 추가검사 필요합니다.

빠른 쾌유를 기도합니다.

 

 

 


 

0개의 코멘트가 있습니다.