암진단 사례

아산유외과
암진단 사례입니다.

내용보기
아산유외과 개원후 176번째 유방암 진단
작성자 관리*** 등록일 2014-12-02 15:41:35 조회수 928
첨부파일 첨부파일 없음

 

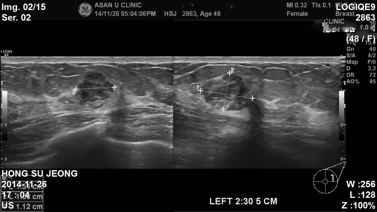
건강검진상 이상소견으로 내원한 48세 여성분입니다.

좌측 유방 상외측에 1.3cm의 혹이 있었고 진찰 상 좌측 겨드랑이에도 림프절의 비대가 있었습니다.

조직검사를 시행하여 좌측유방의 혹과 겨드랑이 림프절비대부를 조사하여

좌측유방의 침윤성 유관암과 액와림프절 전이암으로 진단되었습니다.

 

 

 

0개의 코멘트가 있습니다.