암진단 사례

아산유외과
암진단 사례입니다.

내용보기
아산유외과 개원후 174번째 유방암 진단
작성자 관리*** 등록일 2014-11-26 09:05:32 조회수 988
첨부파일 첨부파일 없음

 

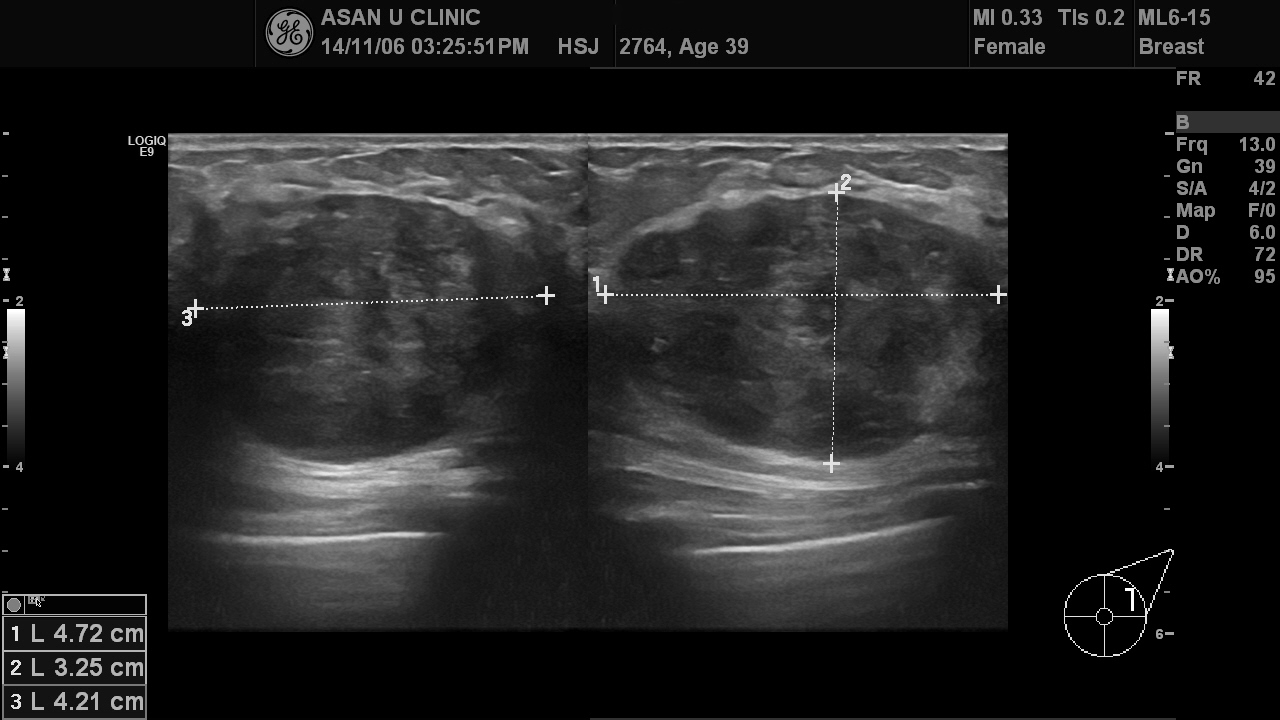
왼쪽 유방에 만져지는 몽우리로 내원한 39세 여성입니다.

본원 초음파 영상으로 본 혹은 4.7cm직경을 가지고 있었으며,

5조각을 중심핵생검법을 통해 조직검사 시행하여

섬유선종이란 양성종양이란 결과를 보았습니다.

 

혹의 크기때문에 수술적 절제를 권유하였으나

맘모톰을 통한 혹의 절제를 원하셔서 그렇게 진행하였습니다.

최종 조직검사는 좌측유방 소엽의 제자리암종으로 확진되었으며

조직검사와 일치하지 않는 최종결과를 확인하는 안타까운 증례가 되었으나,

적절한 치료를 위해선 오히려 필요한 진단인 경우입니다.

빠른 쾌유를 믿습니다.

 

0개의 코멘트가 있습니다.