암진단 사례

아산유외과
암진단 사례입니다.

내용보기
아산유외과 개원후 173번째 유방암 진단
작성자 관리*** 등록일 2014-11-15 13:26:35 조회수 961
첨부파일 첨부파일 없음

 

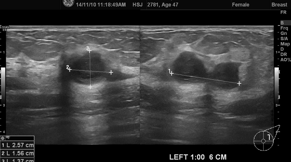
좌측 유방에 만져지는 멍우리가 있어 내원한 47세 여성입니다.

동그란 두개의 혹이 연결된 초음파 영상을 가졌고 조직검사로 침윤성 유방암이 각각 진단되셨습니다.

좌측 겨드랑이 림프절에는 암전이가 없다고 세침검사에 나와 다행입니다.

빠른 쾌유를 기원합니다.

감사합니다.

 

0개의 코멘트가 있습니다.